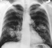
Il tumore al polmone è una categorizzazione sommaria di diversi tipi di tumore e cancro che possono interessare i polmoni. Fatto sta che non si tratta di una patologia semplice da curare, inoltre i polmoni stessi possono essere anche attaccati dalle metastasi di un cancro localizzato in altre zone del corpo. Le cause che possono essere in grado in aumentare in maniera significativa il rischio di contrarre una simile patologia sono oggigiorno molteplici. Rispetto ad alcuni decenni fa, il nostro stile di vita sembra essere maggiormente esposto alla contrazione di una simile malattia.

Di questi tempi infatti fra l’aria inquinata, il fumo, i prodotti di scarico e quelli chimici, le patologie che interessano i polmoni sono sempre più frequenti. E capire i sintomi per comprendere se si è davvero a rischio può salvarvi la vita. D’altro canto è risaputo che la prevenzione è sempre la migliore strategia da adottare specialmente nel caso di patologie molto gravi come quelle in oggetto. Ma quali sono i sintomi più frequenti del tumore al polmone?

Il nostro corpo è una macchina estremamente funzionale, tanto è vero che molte volte viene anche definita una “macchina perfetta”. Nel caso qualcosa iniziasse a non funzionare alla perfezione, esso invia sempre dei segnali chiari che ci avvisano tempestivamente che c’è qualcosa di anomalo nel nostro organismo. Il problema è che molto spesso tendiamo a sottovalutare questi segnali, probabilmente per paura di indagare a fondo sul nostro stato di salute con il rischio di scoprire qualcosa di spiacevole e sconfortante. Vediamo ora più nel dettaglio quali avvisi ci può mandare il nostro corpo qualora si stesse sviluppando un tumore al polmone.
